Beyninde bulunan 4 santimlik kitle burnundan çıkartıldı
Afyonkarahisar Devlet Hastanesi Acil Servisine giderek muayene olan 44 yaşındaki İbrahim B. çeşitli ağrı kesici ve bulantı önleyici ilaçlar ile tedavisi tamamlandı. Hasta, bu süreçte şikayetlerinde bir gerileme olmadığını fark etti. Görme kaybı ve mide bulantısı ilerlemeye devam eden İbrahim B. artan şikayetleri nedeniyle Afyonkarahisar’daki özel bir Hastanenin Acil Poliklinik Doktoru Dr. Ahmet Sinan Tıraş’a muayeneye oldu.

GÖRME KAYBI OLDUĞU TESPİT EDİLDİ
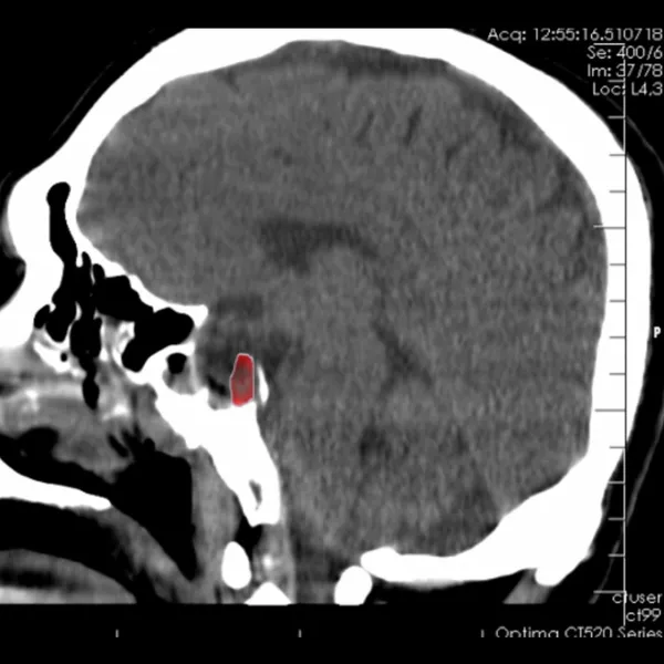
Doktor Ahmet Sinan Tıraş, bu hastalığın basit bir bulantı ve kusma olmadığını ve görme kaybıyla birlikte ciddi bir nörolojik durum olduğunu düşünerek, Nöroloji Doktoru Uzm. Dr. Ceren Kuşakçı’yı bilgilendirdi. Uzm. Dr. Ceren Kuşakçı Tomografi ve MR çekilmesini istedi. Beyin ve Sinir Cerrahisi Doç. Dr. Mehmet Gazi Boyacı ile birlikte MR ve Tomografi sonuçlarını inceleyen hekimler, Hipofiz bezinin altında dev hipofiz adenomu ile karşılaştı. 4 santimetrenin üzerindeki bu kitle; görme sinirlerine baskı yaptığı için görme kaybı oluşan hastaya Göz Hastalıkları ve Sağlığı Doktoru Op. Dr. Mustafa Muhterem Ekim tarafından yapılan tetkikte yüzde 90 görme kaybı olduğu tespit edildi.

AMELİYAT OLMASINA KARAR VERİLDİ
Görme sinirlerine baskı giderek arttığı için Beyin ve Sinir Cerrahisi Doç. Dr. Mehmet Gazi Boyacı tarafından acil ameliyat olması gerektiğine karar verildi. Ancak ameliyat için 2 farklı yol olduğunu dile getiren Doç. Dr. Mehmet Gazi Boyacı; kafatasının kesilerek iyileşme süreci uzun olan yöntem yerine, burundan girilerek kitleyi çıkarmanın daha mantıklı ve iyileşme sürecini kısaltan bir ameliyat tekniği olduğunu düşündü.

GÖRME ORANI YÜZDE 90’A YÜKSELDİ
Kulak-Burun-Boğaz Doktoru Op. Dr. Ersen Koç ile birlikte Transsfenoidal Sinüs Cerrahi(burundan girilerek Sfenoid Sinüs yoluyla yapılan ameliyat) ameliyatı olmasına karar verildi. Ameliyat sonucunda hipofiz bezindeki kitlenin tamamına yakını burnundan çıkarılarak hastanın görme sinirlerindeki baskı ortadan kaldırıldı. Doktorlarımız ve ekibimizin titizlikle yürüttüğü operasyon sonucunda hasta sağlığına kavuştu ve ameliyattan hemen sonra görme oranı yüzde 10’dan yüzde 90’a yükseldi.
Kaynak:Sabah / Sağlık